محل سنگ لگنچه کلیه در کلیه چپ
محل قرار گیری سنگ لگنچه کلیه در کلیه چپ

برای آشنایی با دفع سنگ لگنچه کلیه لازم است که ابتدا به توضیح سنگ لگنچه و انواع آن بپردازیم . سپس بهترین روش سنگ شکنی لگنچه کلیه برای درمان سنگ لگنچه را که بدون جراحی و بیهوشی و بستری و درد است را شرح می دهیم . با ما همراه باشید .

 

سنگ لگنچه کلیه

عکس سنگ در لگنچه کلیه - سنگ در لگنچه کلیه راست
عکس سنگ در لگنچه کلیه – سنگ در لگنچه کلیه راست

به ناحیه ای که در تصویر بالا Renal pelvis  نام گذاری شده است لگنچه کلیه می گویند. به سنگی که در ناحیه لگنچه کلیه قرار دارد سنگ لگنچه می گویند . معمولا روش های درمان سنگ لگنچه بر اساس سایز سنگ ها و جنس سنگ ها متفاوت می شود به همین جهت در این مقاله به توضیح روش دفع سنگ کلیه در لگنچه بر اساس اندازه سنگ لگنچه کلیه می پردازیم .

 

دفع سنگ لگنچه بر اساس انواع سنگ کلیه در لگنچه

سنگ لگنچه کلیه

انواع سنگ لگنچه بر اساس اندازه سنگ عبارت است از :

به سنگ لگنچه کوچکتر از 5 میلیمتر

سنگ کلیه با اندازه 5 تا 20 میلیمتر

سنگ لگنچه بزرگتر از 20 میلیمتر

در ادامه به توضیح روش های درمان و دفع سنگ لگنچه های بالا می پردازیم .

 

درمان سنگ لگنچه 5 میلیمتری و کوچک تر از 5 میل

عکس سنگ در لگنچه کلیه – سنگ در لگنچه کلیه راست

90 درصد سنگ های لگنچه تا 5 میلیمتر امکان دفع به صورت طبیعی را دارد . دفع طبیعی این سنگ ها ، نیاز به نوشیدن آب فراوان و فعالیت هایی مثل طناب زدن دارد که منجر به حرکت در سنگ کلیه میگردد . سنگ های حرکت کرده به سمت حالب می رود و به راحتی درمان و دفع می شوند . 10 درصد این سنگ ها نیز به جهت وجود تنگی های مادرزادی در مجاری ادراری بیمار امکان دفع به این روش را ندارند که بهترین روش برای درمان این سنگ ها ، سنگ شکنی سنگ لگنچه کلیه می باشد.

 

درمان سنگ لگنچه کلیه 5 میلیمتری تا سنگ لگنچه 20 میلیمتری

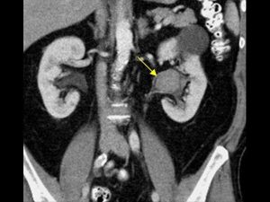
سنگ لگنچه کلیه چپ - عکس سنگ در لگنچه کلیه - سنگ در لگنچه کلیه چپ
عکس سنگ در لگنچه کلیه – سنگ در لگنچه کلیه چپ

با توجه به اینکه قطر لوله حالب کمتر از 5 میلیمتر می باشد ، سنگ های بزرگ تر از 5 میلیمتر امکان عبور از لوله حالب را به صورت طبیعی ندارند . این سنگ ها نیاز به سنگ شکنی داشته تا سنگ لگنچه به ابعاد کوچک تر از 5 میلیمتر خرد شود تا امکان دفع سنگ لگنچه از طریق لوله حالب فراهم گردد .

 

درمان سنگ لگنچه کلیه 20 میلیمتری و سنگ لگنچه بزرگ تر از 20 میلیمتر

سنگ های لگنچه کلیه با ابعاد بزرگ تر از 20 میلیمتر نیز لازم است ابتدا به ابعاد کمتر از 5 میلیمتر خرد شود تا بتواند به صورت طبیعی از طریق مجرای ادراری دفع شود. سنگ های بزرگ تر از 20 میلیمتر نیز در کلینیک سنگ شکن مشهد دکتر اصغر فرهادی قابل شکستن با روش سنگ شکنی بدون جراحی و بیهوشی و بستری و درد می باشد. همچنین محدودیت درمان برای بیماران دارای مشکلات قلبی و عروقی و بیماران بالای 70 سال در این مرکز وجود ندارد. در کلینیک سنگ شکن مشهد ، سنگ شکنی توسط دکتر اصغر فرهادی متخصص جراحی کلیه با بیش از 35 سال سابقه در اورولوژی انجام می گیرد. این مرکز توانایی درمان بیماران سنگ کلیه تا 96 میلیمتر را در سابقه خود دارد. بیماران محترم میتوانند جهت سنگ شکنی سنگ لگنچه کلیه خود در ساعات زیر به صورت حضوری جهت اخذ نوبت فوری سنگ شکنی اقدام نمایند:

پاسخگویی تماس : همه روزه و ایام تعطیل از ساعت 6 صبح تا 10 شب

ساعات پذیرش : همه روزه به جز ایام تعطیل صبح ها از 06.30 تا 11.30 و عصرها از  15.30 تا 18

تلفن : 05136037698

آدرس : مشهد ، بلوار فردوسی ، نبش چهارراه فرامرز عباسی ، کلینیک ساوالان ، طبقه همکف ، کلینیک سنگ شکن دکتر اصغر فرهادی

سنگ شکن مشهد

جهت آشنایی بیشتر با دکتر اصغر فرهادی به صفحه بهترین متخصص اورولوژی مشهد مراجعه نمایید .

جهت مشاهده کلیپ های سنگ شکنی بیشتر به پیج اینستاگرام سنگ شکن مشهد مراجعه نمایید .

همچنین جهت اطلاع از شیوه سنگ شکنی در این مرکز به صفحه سنگ شکن مشهد مراجعه نمایید .

❓ سوالات متداول درباره سنگ لگنچه کلیه

1. سنگ لگنچه کلیه چیست؟

سنگ لگنچه کلیه به رسوبات سختی از مواد معدنی و نمک‌ها گفته می‌شود که در قسمت لگنچه‌ای کلیه – محلی که ادرار از کلیه به سمت حالب هدایت می‌شود – تشکیل می‌گردد.

2. چه تفاوتی بین سنگ لگنچه و سایر سنگ‌های کلیه وجود دارد؟

سنگ لگنچه معمولاً در ناحیه مرکزی کلیه شکل می‌گیرد و نسبت به سنگ‌های کالیس یا حالب بزرگ‌تر و پیچیده‌تر است. درمان آن نیز گاه نیازمند روش‌های پیشرفته‌تری است که در مرکز سنگ شکن دکتر اصغر فرهادی در مشهد این سنگ ها به راحتی درمان میگردند.

3. چرا سنگ در لگنچه کلیه تشکیل می‌شود؟

کم‌آبی بدن، تغذیه نامناسب، مصرف زیاد نمک و پروتئین، و اختلالات متابولیکی از دلایل شایع تشکیل سنگ در لگنچه کلیه هستند.

4. آیا سنگ لگنچه می‌تواند بدون علامت باشد؟

بله، در مراحل ابتدایی یا زمانی که سنگ کوچک باشد ممکن است هیچ علامتی ایجاد نکند و فقط در تصویربرداری‌های تصادفی کشف شود.

5. علائم اصلی سنگ در لگنچه کلیه چیست؟

درد پهلو، تهوع، وجود خون در ادرار، سوزش ادرار و در موارد پیشرفته، تب و لرز از علائم شایع سنگ لگنچه هستند.

6. آیا سنگ لگنچه کلیه می‌تواند باعث تهوع شود؟

بله، تحریک اعصاب کلیوی ناشی از حرکت یا فشار سنگ می‌تواند منجر به تهوع و استفراغ شود.

7. آیا درد سنگ لگنچه با درد آپاندیس اشتباه گرفته می‌شود؟

گاهی بله؛ به‌ویژه در مواردی که سنگ در کلیه راست باشد، درد ممکن است با درد آپاندیس شباهت داشته باشد و نیاز به تشخیص دقیق دارد.

8. چه تصویربرداری‌هایی برای تشخیص سنگ لگنچه مفید است؟

سی‌تی‌اسکن بدون تزریق (CT-KUB) دقیق‌ترین روش است. سونوگرافی نیز کمک‌کننده است ولی ممکن است سنگ‌های کوچک را نشان ندهد.

9. آیا سونوگرافی برای تشخیص کافی است؟

در بسیاری از مراکز تنها از سونوگرافی استفاده می‌شود، اما در مرکز دکتر فرهادی مشهد از ترکیب سونوگرافی و سی‌تی‌اسکن برای تشخیص دقیق بهره گرفته می‌شود.

10. بهترین روش برای تشخیص دقیق سنگ لگنچه چیست؟

سی‌تی‌اسکن بدون ماده حاجب (Non-contrast CT) استاندارد طلایی تشخیص سنگ لگنچه است که در مرکز دکتر فرهادی نیز به‌صورت روتین انجام می‌شود.

11. اندازه سنگ لگنچه چگونه بر درمان تأثیر می‌گذارد؟

سنگ‌های کوچک‌تر از 5 میلیمتر معمولاً با دارو قابل درمان‌اند؛ اما سنگ‌های بزرگ‌تر به روش‌هایی مانند سنگ شکن سنگ لگنچه کلیه و یا روش جراحی PCNL نیاز دارند.

12. آیا وجود خون در ادرار نشانه سنگ لگنچه است؟

بله، خون در ادرار (هماچوری) یکی از نشانه‌های کلاسیک سنگ در لگنچه کلیه است، حتی اگر بدون درد باشد.

13. آیا ممکن است سنگ لگنچه فقط در یک کلیه دیده شود؟

بله، بسیاری از موارد سنگ لگنچه یک‌طرفه هستند، اما در برخی بیماران مستعد ممکن است دوطرفه نیز دیده شود.

14. آیا سنگ لگنچه باعث فشارخون بالا می‌شود؟

در صورت انسداد مزمن و تأثیر بر عملکرد کلیه، بله. فشارخون مقاوم ممکن است یکی از پیامدهای سنگ لگنچه درمان‌نشده باشد.

15. آیا درد لگنچه با سنگ حالب متفاوت است؟

درد ناشی از سنگ لگنچه معمولاً کندتر، مداوم‌تر و با تهوع همراه است، در حالی که درد سنگ حالب تیز، ناگهانی و موجی است.

16. آیا سنگ لگنچه قابل لمس است؟

خیر، چون در داخل بدن و در کلیه قرار دارد، لمس‌پذیر نیست؛ اما درد آن ممکن است به پشت یا پهلو ارجاع یابد.

17. آیا تب و لرز نشانه سنگ لگنچه است؟

اگر با عفونت ادراری همراه باشد، بله. در این صورت مراجعه فوری به پزشک ضروری است.

18. آیا آزمایش ادرار وجود سنگ را مشخص می‌کند؟

آزمایش ادرار ممکن است خون، کریستال‌ها یا علائم عفونت را نشان دهد اما برای تشخیص دقیق، تصویربرداری الزامی است.

19. نقش سابقه خانوادگی در سنگ لگنچه چیست؟

افرادی که سابقه خانوادگی دارند بیشتر مستعد تشکیل سنگ هستند، به‌ویژه اگر عادات غذایی مشترکی داشته باشند.

20. تفاوت سنگ لگنچه با کیست کلیه چیست؟

سنگ جسم سختی است که در سیستم جمع‌کننده ادرار تشکیل می‌شود؛ در حالی‌که کیست حفره‌ای پر از مایع است که معمولاً بدون درد و خوش‌خیم است.